私自身、セラミック治療を経験しました
皆さんこんにちは(^▽^)o
さかの歯科 歯科衛生士のK.Yです。
さかの歯科では現在セレック治療を導入しています。セレック治療に関しては以前よりブログにてお話しさせていただいておりますが、今回私もセレック治療でセラミックを入れてもらいました。
ずいぶん昔に入れてもらった詰め物の色が変色してきてたのが、とても気になりやり替える事にしました。
鏡で見ている分には黒くなっているのは分かっていたのですが、カメラで撮るとお恥ずかしいぐらいに黒く縁取られています。゚(゚∩´﹏`∩゚)゚。

外してみると、隣の歯も黒くなっていました(|||O⌓O;)

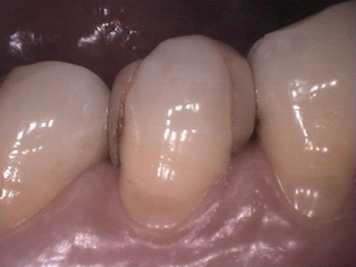
セレックでスキャンして、入れてもらったのがこちら。↓

上からみると口腔内カメラで撮っても境目もわかりませんよね。
なので、口を開けてよく見ても自分の目では全く分かりません( ॣ•͈૦•͈ ॣ)
とても自然でキレイに出来ています!
横から見ると。。。
➡ 
今回自分でセレックでのセラミック治療を経験しましたが、とても快適で見た目も綺麗なので、大満足です\(^o^)/
もし現在銀歯が気になる… 白い歯にしたい…などお考えの方はお声掛けくださいね。
医療法人さかの歯科
〒610-1146
京都府京都市西京区大原野西境谷町2−14-13
洛西ニュータウン 境谷センター商店街内
TEL:075-331-7070
URL:https://sakanoshika.com/
Googleマップ:https://g.page/r/CfLjKV1yR4GCEAE
