

痛くない怖くない歯科治療
「痛み」をほとんど感じない電動麻酔器を使用し、歯科業界で最も細い注射針を使用することで、「痛み」を最大限抑える治療を心がけています。また、歯医者で患者さんが一番不安に思う「怖さ」を少なくする取り組みをスタッフ一体となって行っております。

口腔内カメラの分かりやすい説明
治療の前と治療の後に、必ず「口腔内カメラ」で写真を撮らせていただき、患者さんに見てもらっています。専門用語を使って説明するよりも、実際にお口の中の写真を見ていただくほうが、患者さんにも現状を把握していただきやすいと考えているからです。

できる限り抜かない予防歯科
「今残っている歯をできる限り抜かない」という考え方です。一度抜いた歯は二度と戻ることはありません。抜く治療方法は最終手段だと考えています。極力歯を抜かずに「予防」を目指して、歯周病メンテナンス治療の提案を行っております。
さかの歯科の紹介・こだわり動画
京都市西京区洛西の歯医者『さかの歯科』紹介動画
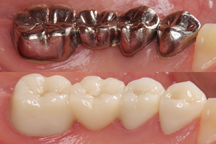
噛み心地・機能面にも配慮したセラミック治療
診察時間
平日 午前 9:00~13:00 / 午後 15:00~19:00
土曜日 午前 9:00~13:00 / ※午後 14:30~18:00
休診日 日・祝・水
※2025年12月より火・土曜の午後の診療が隔週でお休みとなります。(火曜午後が休診の週は土曜は通常診療、土曜午後が休診の週は火曜は通常診療となります。)
詳細は「休診のお知らせ」をご覧ください。
※訪問歯科も行っておりますので、
随時お問い合わせください。
ごあいさつ
『さかの歯科』のホームページをご覧いただき、ありがとうございます。
京都市西京区洛西のさかの歯科、院長の坂野泰造です。
さかの歯科では、今までのような、「痛い」「怖い」「緊張する」「行きたくない」の従来型の歯医者ではなく、患者様自ら積極的に通う歯医者を目指しています。そのために患者様との信頼関係を大切にし、患者様の笑顔と笑い声が絶えない安心安全な歯科医院になりたいと思っています。
そのためにさかの歯科は、次の3つのポリシーにこだわって歯科治療を行っております。


痛くない怖くない歯科治療
多くの患者様は、(歯医者=痛い、怖い)のイメージなので、歯医者は苦手だとよく耳にします。ただし実際の歯科治療においては、本当に痛い治療や怖い治療はほとんどありません。ほとんどの方は、『痛くなりそうで怖い』と感じているだけではないでしょうか?その思いが歯医者に行きづらくしてしまっている一因ではないでしょうか?
さかの歯科では、歯科治療時における痛みを可能な限り軽減することに努めております。また患者様の歯科治療に対する不安をできるだけ払拭するような取り組みもスタッフ一丸として行っております。

口腔内カメラを使った目に見える分かりやすい説明
治療に対する不安として、何をされているのかわからないところがあると思います。さかの歯科では、お口の状態も必ず口腔内カメラを使って視覚的に見える形で説明しています。目で見える情報量は、耳で聞く情報量の600倍と言われています。つまり我々歯医者が言葉で説明するより、患者さん自身が自分の口の中を患者さん自身の目で見ていただくことが何よりの不安を取り除くことであると私自身考えております。さかの歯科では全ての人に対し全ての場面で口腔内カメラにて、視覚的にお口の中を説明しています。口腔内カメラで撮影した画像をもとに、今後どのように治療していくのかを患者様のお悩みを聞きながら、説明用アニメーションや歯の模型などを使ってよりわかりやすく説明し、そして相談もしながら、治療を進めています。
また、すべての口腔内写真をコンピューターに管理しておりますので、いつでも過去のお口の履歴も見れるようにしております。こうすることで、患者様の過去から将来へのお口の変化を目に見える形で患者様自身にわかっていただくことができます。これが自分のお口の中を見つめ直す機会にもなり、最終的には患者さん自身の歯の長持ちにつながると思っております。

できる限り抜かない予防歯科
せっかく頑張って虫歯の治療や歯周病の治療が終わっても、それを維持していくことがもっと重要です。維持できなければ再度の虫歯治療、歯周病治療が必要となってきます。金額的にも時間的にも、もったいないことだと思います。こうならないためにも予防歯科がとても重要と考えています。
さかの歯科では歯科衛生士による歯周病メンテナンスを行い、定期的にお口のクリーニング、歯石取りを行うことで、自分の歯で一生噛むことができるお口の環境作りのお助けをできればと思っております。すなわち痛くなってから通う歯科医院ではなく、痛くなくても積極的に予防のために通う歯科医院になりたいと思っています。
さかの歯科には、7台の無料駐車場を完備し、医院の前に自転車バイクの駐輪場も備えております。また、境谷センターバス停より徒歩1分の距離にあり、JR桂川駅・阪急桂駅・阪急洛西口駅からのバス(京都市バス・阪急バス・ヤサカバス)での通院も可能です。
京都市では、西京区では洛西地区・桂坂地区・樫原地区の方をはじめ、南区・右京区・伏見区の患者様も多く来院されています。また京都市に隣接した亀岡市・向日市・長岡京市・大山崎町・八木町などからも患者様が来られています。
診療時間は平日は9時から19時まで、土曜日は9時から18時までとなっており、通院しやすい診療時間になっております。 診療科目として、一般歯科をはじめ予防歯科、歯周病治療、口腔外科、小児歯科、入れ歯・義歯治療、親知らず治療があります。そのうえインプラント、セラミック・ラミネート診療、ホワイトニング、歯ぎしり・マウスピース治療も行っておりますので、歯科医院や歯医者をお探しの方は気軽に、京都市西京区の洛西ニュータウンの境谷センター商店街内にある『さかの歯科』にご相談ください。
診療内容
新着情報
- 2026.05.28 NEW 令和8年6月のさかの歯科の休診日のお知らせ
- 2026.05.26 NEW 6月休診日情報
- 2026.05.01 令和8年5月のさかの歯科の休診日のお知らせ







































