奥歯の溝が黒いのは虫歯?虫歯ではないケースや原因とは
みなさん、こんにちは!さかの歯科・副院長の坂野美恵です。
歯磨きをしている時に「あれ?歯に黒い点がある」「奥歯の溝が黒いけど虫歯?」と不安に感じることはありませんか?
歯が黒くなるのは虫歯の可能性もありますが、実は虫歯だけでなく着色や歯石など別の理由もあります。
今回は歯が黒くなる原因や対処法について、ご説明していきます。

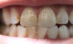
奥歯の溝が黒いのは虫歯?
奥歯の溝が黒い、線のようなものが見えると歯医者にご相談に来る方は多くいらっしゃいます。
特にしみる症状がない時や痛みが無い場合、歯医者にいくべきなのか迷われますよね。
歯が黒くなる理由は様々で、特に症状がなくても虫歯の可能性も高いです。
しかし、普段召し上がっている食べ物や飲み物の着色成分が、奥歯の溝に入り込んでいるだけの可能性もあります。
着色だけであれば、歯を削って埋めるような虫歯の治療は必要ありません。
ご自身の歯の状態は何にあたるのか、以下に詳しくみていきましょう。
歯の黒い点や線は虫歯ですか?原因とは?
歯に黒い点や奥歯の溝に黒い線があると、「虫歯では?」と心配になる方が多いです。
黒い点や線の原因としては、次のようなものがあります。
①虫歯の初期症状
奥歯の溝にできる虫歯は、黒い点や線として見えることがあります。
特に
・奥歯の溝
・歯と歯の間
・歯と歯肉の境目
に黒い点や線がある場合は虫歯の可能性が高いです。
②着色(ステイン)
コーヒー、紅茶、ワイン、タバコなどによって歯に色素沈着(着色・ステイン)が起こることがあります。
着色は虫歯ではなく、飲食物の色味が歯に残っているだけなので、虫歯の治療や歯を削る治療は必要ありません。
着色自体は悪いものではありませんが、審美性を損ね汚れが付きやすくなることがあります。
着色が気になる方は、歯医者で落とすことが可能です。
③食べカス
ゴマやほうれん草など色の濃い食べ物や繊維質な物は、歯の隙間に残ることがあります。
特に奥歯の溝や歯と歯の間には、食べカスが残りやすいので注意が必要です。
食べカスは歯磨きや歯医者でのクリーニングで落とすことが可能ですが、そのまま放置すると虫歯や歯周病の原因にもなります。
なかなか取れない時は、一度歯科医院へご相談下さい。
④歯石
歯の表面にプラーク(柔らかい汚れ、歯垢)が付着し、長期的に付着していると歯石という硬い石が歯の表面に沈着します。
歯石は乳白色、緑色、茶色、黒色と様々な色をしています。
特に歯と歯肉の境目、歯と歯の間に沈着しやすいので、黒い歯石を虫歯と心配される方も少なくありません。
黒い歯石は虫歯ではないので、歯医者での専門的なクリーニングで除去することができます。
⑤神経が死んだ歯
歯の形はそのままで、神経だけ死んでしまった歯は色が黒くなることがあります。
神経が死んだ歯は、歯全体が黒くなるのが特徴です。
神経が死んで黒くなった歯の治療法は審美歯科治療になり、隣の歯の色に合わせて被せ物をする方法や、ホワイトニングをして色味を上げていく治療法となります。
⑥金属の影響
虫歯の治療で金属を歯に入れた場合、歯が黒っぽく見えることがあります。
特に金属を入れた歯や、その隣り合う歯に起こりやすいです。
笑った時やお食事の時に見える歯の金属が気になる方は、審美歯科治療で詰めた金属を白くすることができます。

虫歯が黒いのはなぜですか?進行度は関係ある?
初期虫歯は白っぽくなることが多いですが、進行すると歯が茶色〜黒色に変化してきます。
これは虫歯菌が出す酸によって歯の内部が溶け、そこに細菌や色素・食べかすが入り込むためです。
虫歯の進行の変化には次のような段階があります。
初期虫歯(CO):白く濁る
虫歯のなりはじめは歯がスポット的に白くなります。
虫歯の細菌が出す酸により歯の成分が抜け始め(脱灰)、歯の形はそのまま残り歯の質が弱くなっている状態です。
この時点では痛みもないので、虫歯を気付く方は少ないです。
お子様は歯の表面も虫歯になりやすいので、白く脱灰した部分を見つけやすい傾向にあります。
初期虫歯(C1):歯の溝が少し茶色くなる
初期虫歯から虫歯が進行すると、歯の質(エナメル質)が溶け始めてきます。
段差が生まれ、虫歯の部分が茶色や黒っぽく変色してきます。
多少歯がしみる事もありますが、ほとんど症状もありません。
C1程度まで虫歯が進行したら、状況に合わせて虫歯治療の対象となります。
中等度の虫歯(C2):歯が欠け、虫歯が黒っぽくなる
C1から虫歯が進行すると、エナメル質から象牙質まで虫歯が深くなります。
象牙質は神経に刺激を伝達するので、しみる症状や痛みが出てくることが多いです。
C2まで虫歯が進行したら、しっかり治療が必要になります。
治療法はプラスチックで歯をつめる、もしくは削って型取りして部分的な詰め物をする必要が高いです。
C2まで進んだ虫歯は、なるべく早急に治療が必要になります。
中等度の虫歯(C3):歯が大きく溶け、黒くなる
C3まで進行すると、神経にまで虫歯が進行しています。
歯がズキズキと痛み、熱いものでもしみるようになり、拍動性の痛みを感じることもあります。
虫歯の部分は黒くなっており、歯が溶けている部分も大きくなります。
C3の治療法は、虫歯により感染した神経を取り、被せ物を作っていく治療になります。
重度の虫歯(C4):歯がほとんど溶け、黒くなる
C3の虫歯が進行すると、歯がほとんど溶け根っこのみとなります。
溶けた歯が黒く変色し、痛みもほとんど感じなくなります。
歯の形がないので、お食事に影響が出る可能性や、場合によってはしゃべりにくくなることもあります。
C4まで虫歯が進行した場合は、残念ながら歯を抜歯する治療になることが多いです。

奥歯の溝が黒い場合や黒い歯を見つけたらどうしたらいいですか?
特に症状がなくても、奥歯の溝や歯に黒い点や線をみつけたら、まず歯医者へご相談下さい。
上記で挙げた通り、虫歯の可能性もありますので歯科医師の判断が必要です。
痛みがないから…とそのまま放置すると、虫歯が進行し強い痛みが出る可能性もあります。
虫歯だった場合は、早期発見・早期治療に繋がりますので、まずはお気軽にご相談下さい。
すでに痛みやしみる症状がある方は、治療が必要な可能性が高いので、なるべく早めに歯医者に行くようにしましょう。
まとめ
歯が黒い部分を見つけると虫歯なのか不安になるかと思います。
特に症状がなくても自己判断はせずに、まずはさかの歯科までお気軽にご相談下さい。
虫歯の場合は治療を行い、虫歯でない場合はクリーニングなどの適切な処置をご提案致します。
お口や歯のトラブルは京都市西京区・さかの歯科までご相談下さい。
「WEB予約」からは24時間ご予約を受け付けておりますので、ぜひご覧ください。

医療法人さかの歯科
〒610-1146
京都府京都市西京区大原野西境谷町2−14-13
洛西ニュータウン 境谷センター商店街内
TEL:075-331-7070
Googleマップ:https://g.page/r/CfLjKV1yR4GCEAE
